Request Request an Appointment Forms Complete Our Forms Find Us Like Us on Facebook Reviews Leave a Google Review Call Map
Request an Appointment
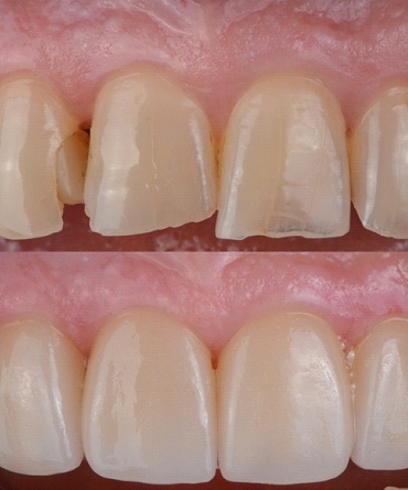
a before and after photo of a smile makeover

Smile Makeover – Azle, TX

You Deserve a Smile That Makes You Feel Confident

At Rubal Dentistry Azle, our team understands how much of an impact dental damage, discoloration, and misalignment can have on your self-esteem. That’s why we offer a variety of custom-tailored cosmetic treatments that can address all of those issues and truly transform your grin. Based on your desires and goals, Drs. Frank and Jodie Rubal will design a special treatment timeline to help you achieve the smile of your dreams.

Why Choose Rubal Dentistry Azle For a Smile Makeover

  • Additional Financing Through CareCredit Available
  • Advanced Digital Imaging Technology
  • Custom-Tailored Cosmetic Dental Treatments

The Smile Makeover Process

a portrait of a smiling person

The first step to take to start your smile transformation journey is to schedule a consultation with Drs. Frank or Jodie Rubal by contacting our office. During this appointment, our team will conduct a thorough examination of your smile and listen to what traits you’d like to have repaired, improved, or changed. We’ll also ask you about any deadlines you have or budget constraints. Based on those details, we’ll sit down and customized a treatment timeline for you to address each of your concerns. We’ll also walk you through pricing as well, so you know the breakdown of the costs for each treatment you’ll require. Once you decide to move forward, we’ll schedule the first treatment of your smile makeover process.

Are You a Good Candidate for a Smile Makeover?

a patient consulting with a dentist while a dentist explains a model of a mouth

Smile makeovers are a great option for anybody who is looking to fix two or more cosmetic dental imperfections that we’ve listed below:

  • Tooth discoloration due to staining, tobacco use, medications, and poor oral hygiene.
  • Slightly misaligned teeth.
  • Chipped or cracked teeth.
  • Severely misshapen molars.
  • Metal restorations that are noticeable and unsightly.

If you’re unhappy with any of these issues, we invite you to contact our office to schedule a consultation today, because you’re likely a good candidate for a smile makeover!

What Cosmetic Treatments Can Be Included in a Smile Makeover?

a dentist talking to a patient about getting a smile makeover

Depending on what flaws you face, any of our cosmetic treatments can be included in your treatment plan, including:

  • Professional teeth whitening
  • Metal-free restorations
  • Dental implants or prosthetics to replace missing teeth
  • Cosmetic bonding
  • Porcelain veneers

During your consultation, we’ll walk you through all of the procedures that we recommend and explain why we’re suggesting them. We can also use our intraoral camera to get a closer view of different flaws that you’re looking to repair and explain how a procedure can help address these issue.

Smile Makeover FAQs

How Many Treatments Can You Include in a Smile Makeover?

There is no limit to the number of treatments you can include in your smile makeover. We offer a wide range of cosmetic and restorative dental services at Rubal Dentistry Azle, and any one of them could be a part of your personalized treatment plan. One patient may choose to brighten their smile with a combination of teeth whitening, cosmetic bonding, and porcelain veneers while another patient may opt to address broken or misshapen teeth with veneers and dental crowns. During your consultation at our office, Dr. Rubal will evaluate your oral health and discuss your goals and budget to determine which treatments can be suitable for you.

How Long Is a Smile Makeover?

Since each smile makeover is unique, some of them take longer than others. The amount of time your smile makeover requires depends on how many and which kinds of procedures you will be receiving. While treatments like cosmetic bonding or in-office teeth whitening can be completed in a single appointment, procedures like placing porcelain veneers or metal-free dental crowns can take two appointments or more. Dr. Rubal will be happy to develop a treatment plan based on your needs, preferences, and time constraints during your consultation.

Does a Smile Makeover Hurt?

It’s understandable that a patient might be concerned about how much the treatments included in their smile makeover will hurt, and Dr. Rubal will do everything possible to ensure your comfort during any procedure. Many cosmetic dental treatments such as teeth whitening and cosmetic bonding are so non-invasive and naturally painless that they do not require any anesthesia. On the other hand, treatments that require the alteration of dental structure such as porcelain veneers or dental crowns are only performed after the patient has received an appropriate local anesthetic. While some treatments can result in some soreness for a few days afterward, this discomfort is mild and temporary.

How Can a Smile Makeover Change Your Life?

While some people may think of cosmetic dentistry as something vain and frivolous, the truth is that having a beautiful smile can significantly improve your quality of life. It’s much easier to get motivated about excellent oral hygiene and regular dental visits if your smile already looks fantastic, and preserving your gorgeous grin can incentivize you to kick bad habits like smoking, nail-biting, and excessive alcohol consumption. Having teeth you can be proud of also makes it much easier to smile confidently, which can open all sorts of opportunities in the social scene and the professional world. People who smile frequently are more likely to be seen as friendly, approachable, confident, and competent by others, which can be an excellent advantage during business meetings or job interviews. The act of smiling also releases your brain’s natural feel-good chemicals, and some research suggests that it may bolster your immune system.

Have Questions? Get Answers.
Have a Dental Emergency?

We’ll get you in right away!